This Isn’t Supposed to Happen to Me!

My mind wasn’t computing. I had just crashed into an upstairs wall. Shirtless, I stared at my left shoulder, which had slammed the corner of the wall full force. “That should have hurt a whole lot more,” I thought.

I tried to take a step toward the bedroom but instead hit the opposite wall, banging into a framed photo of a snowy cactus while the adjacent crucifix clattered to the floor. I had never, ever been this unsteady on my feet, not even after any of my college “escapades” so many decades ago.

I stopped and steadied myself, determined to get my body under control. Yet, no matter how slowly and deliberately my brain tried to steer me in one direction, my body insisted on going in another. Maybe that ‘pop’ I felt in the center of my skull really was a stroke.

I did the one thing you should never do when you have a stroke. I took a shower. Call it the “clean underwear” syndrome – make sure you always wear clean underwear in case you’re in an accident and have to go to the hospital. Denial was also a factor; maybe it wasn’t a stroke after all. Maybe the flowing hot water would clear my head. It didn’t. Instead, the inevitable happened.

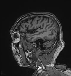
My neurologist said I was lucky the stroke occurred in a part of the brain that did not affect thinking or speech. (Insert joke here!)

As I laid on the shower floor struggling unsuccessfully to get up, Ralph, the 400 lb. cat, walked in with a concerned look on his face, as if to say, “Does this mean you’re not going to feed me?” I burst out laughing. Really; no lie.

I eventually made it to my feet. The doorbell rang as I was trying to put on a pair of gym shorts – clean, of course, for my trip to the hospital – and I fell again. I crawled toward the open bedroom window, used the sill to lift myself up, and called down to a neighbor, who called Helen.

We all know the old joke – “How do you make God laugh? Tell him your plans.” I hadn’t even started sorting the post-retirement possibilities before God took over. Do more writing? Attack the checklist of home maintenance tasks? Become a much better guitar player? Spend more time with Mom? Get into better shape? All of a sudden, not only was I unable to answer the question “now what,” my sudden disability meant I couldn’t even ask myself that question.

Occupational therapy started the day after my stroke, when Helen thoughtfully brought my guitar to the hospital.

And there, I realized, was the answer.

I now had no choice but to ask God. Whatever I wanted was no longer much of a factor. I had to shift my focus to becoming the person God wants me to be. Discernment, historically my Achilles heel, was now much easier. This was God’s literal “slap on the back of the head.” With a two-by-four.

This retirement journey has now become much more interesting. I hope you’ll share it with me. With any luck, we’ll share a few laughs and maybe even a tear or two.